![]()
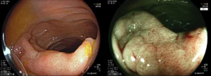
Με επιτυχία διεξήχθησαν δύο περιπτώσεις ασθενών: αφαίρεση μεγάλου πολύποδα παχέος εντέρου και μεγάλου επίπεδου πολύποδα δωδεκαδακτύλου με την τεχνική της ενδοσκοπικής βλεννογονεκτομής (Endoscopic Mucosal Resection – EMR) σε ιδιαίτερα δύσκολη θέσεις.
Η μέθοδος EMR είναι μια προηγμένη θεραπευτική ενδοσκοπική τεχνική για την αφαίρεση μεγάλων πολυπόδων. Χρησιμοποιείται κυρίως για την αφαίρεση επιφανειακών ή μεγάλων πολυπόδων (συνήθως >2cm) στο παχύ έντερο ή το στομάχι, που δεν μπορούν να αφαιρεθούν με την κλασική πολυποδεκτομή.
Στη διαδικασία αυτή, εγχέεται κάτω από τον πολύποδα φυσιολογικός ορός (συχνά μαζί με αιμοστατικά φάρμακα ή ειδική χρωστική) χρησιμοποιώντας έναν λεπτό καθετήρα. Αυτό ανασηκώνει τον πολύποδα, δημιουργώντας ένα «μαξιλάρι» προστασίας για τα βαθύτερα στρώματα του εντέρου.
Στη συνέχεια, ο γιατρός παγιδεύει τον πολύποδα με έναν ειδικό βρόγχο και τον αφαιρεί, είτε με τη χρήση ηλεκτρικού ρεύματος (hot EMR) είτε χωρίς (cold EMR), στέλνοντάς τον για βιοψία. Τέλος, αν κριθεί απαραίτητο λόγω του μεγέθους ή της θέσης της τομής, τοποθετούνται μεταλλικά κλιπ για να κλείσει η πληγή και να αποφευχθούν μελλοντικές επιπλοκές.
Οι ασθενείς εξήλθαν μια ώρα μετά την επέμβαση σε άριστη κλινική κατάσταση.
Πολύποδας δωδεκαδακτύλου


![]()
Πολύποδας παχέος εντέρου


![]()
![]()